Оставить заявку
Услуги Врачам Пациентам Партнёрство Новости О компании Прайс-лист Контакты Личный кабинет врача Город
Город Прайс-лист Контакты Личный кабинет врача
Онлайн заявка
Услуги Врачам Пациентам Партнёрство Новости О компании
Новости Мероприятия
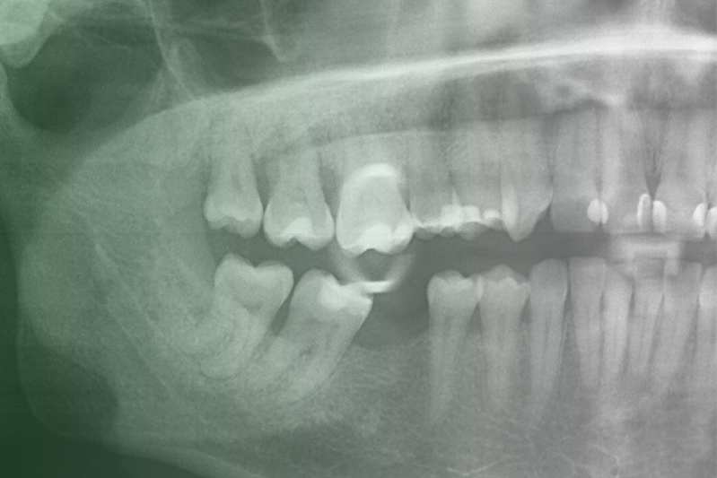
Клинический случай. Хирургия
26 февраля 2020
Центр Voxel открылся в городе Тобольск
21 февраля 2020
Клинический случай. Эндодонтия
17 февраля 2020
Новый партнер, г. Барнаул
13 февраля 2020
Клинический случай. Терапия
10 февраля 2020
Новый партнер, г. Красноярск
25 декабря 2019
Загрузить больше
01 08 09 10
Voxel
  • О компании
  • Врачам
  • Партнёрство
  • Контакты
  • Услуги
Клиентам
  • Наши услуги
  • Прайс-лист
  • Новости
  • Мероприятия
  • Консультация
Врачам
  • Наши услуги
  • Прайс-лист
  • Новости
  • Личный кабинет
  • Партнёрство
Соц. сети
Vkontakte YouTube Одноклассники
Контакты
Адрес центра
2026 © Voxel - независимый рентген-диагностический центр Политика конфиденциальности
Записаться онлайн
Выберите свой город
Выберите ближайший рентген центр
Ваша заявка
принята!

В скором времени наш
менеджер свяжется с вами,
оставайтесь на связи

Прекрасно